Welcome to the website of the Laboratory for Industrial and Medical Ultrasound!

We tackle various problems of medical diagnostics, therapy and surgery, aeroacoustics, general wave physics, and industrial applications of acoustic waves

Nonlinear wave physics

Nonlinear acoustics equations, broadband signals in nonlinear media, acoustic radiation force

Mechanical tissue disintegration with focused ultrasound (histotripsy)

Development of non-invasive methods for treating tumors, hematomas and neurological diseases

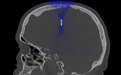
Ultrasound for non-invasive neurosurgery

Development of non-invasive treatment modalities for brain tumors and neurodegenerative diseases

Parametric (directional) sound radiation

Development of numerical algorithms, transducer design

Numerical modeling in acoustics

Software development, acceleration of numerical experiments, parametric sound radiation and nonlinear problems of aeroacoustics

Ultrasonic methods in diagnostics and therapy of the brain

Aberration correction, expansion of available brain area, ultrasound brain diagnostics

Design of high-power ultrasonic phased arrays

Numerical modeling, transducer design, numerical and experimental characterization of the produced fields

Propagation of sound waves in inhomogeneous media

Numerical modeling, development of optimal diagnostic and therapeutic regimes, verification experiments

Thermal ablation of tissues with focused ultrasound (HIFU)

Development of new shock-wave regimes, transducer design, numerical modeling, experiment

Acoustic holography

Development and optimization of new holography methods (fast and nonlinear), field characterization for new transducers

Ultrasonic cavitation

Theoretical and experimental research, development of methods for quantitative cavitation detection

Ultrasonic lung diagnostics

Investigation of physical mechanisms of ultrasound lung diagnostics

Industrial airborne ultrasound

Development of new transducers and their experimental and numerical characterization

Acoustic radiation force

Complex beams impact on millimeter objects, development of new methods for prediction and use of acoustic radiation force

Fragmentation and manipulation of kidney stones

Diagnostics, manipulation and fragmentation of kidney stones

Graphics processors (GPU) in modeling

Calculations optimization and numerical modeling of fields produced by transducers of varied geometry

Optical (Schlieren) visualization of ultrasound fields

Design of new experimental systems, investigation of nonlinear fields produced by transducers of varies geometry

Ultrasound in cosmetology

Development of methods using new physical mechanisms

Measurement of acoustic properties of various media

Development of new methods, design of acoustic systems, investigation of acoustic and elastic properties of various media and biotissues

Ultrasound-assisted biofabrication

Non-invasive manipulation of tissue spheroids for artificial creation of organs and vessels

Ultrasound-assisted targeted drug delivery

Transducer design and numerical modeling of their fields

LIMU at Oncoradiology congress – 2026

On February 13–14, 2026, the IX All-Russian Scientific and Educational Congress "Oncoradiology, Diagnostic Radiology, and Radiotherapy" was held in Moscow. Our research fellow, Ekaterina Ponomarchuk, participated as an invited speaker with an overview talk on "Tumor disintegration with high-intensity ultrasound."

LIMU at the Scientific Council meeting of the Russian Academy of Sciences

On December 17, 2025, LIMU representatives Oleg A. Sapozhnikov, Vera A. Khokhlova, Pavel B. Rosnitsky, and Ekaterina M. Ponomarchuk spoke at the meeting of Scientific Council "Biomedical Physics and Engineering" at the Russian Academy of Sciences, dedicated to the development of technologies using high-intensity focused ultrasound in therapy and non-invasive surgery.

LIMU at the science forum “RadMed-2025”

On December 9–10, 2025, the II International Youth Science Forum "RadMed-2025" was held at Moscow State University. Our research fellow, Ekaterina Ponomarchuk, participated as an invited speaker with an overview talk on "Incisionless fractionation of soft tissues using pulsed high-intensity focused ultrasound".

LIMU at the Young Scientists Congress in Sirius

On November 26–28, the V Young Scientists Congress was held at Sirius University (Sochi) bringing together representatives of science and the innovation community. LIMU was represented by our postgraduates Daria Chupova and Elena Konnova and research fellows Ekaterina Ponomarchuk and Sergey Tsysar.

LIMU at the XXXVII Session of the Russian Acoustical Society

From October 20 to 24, 2025, the annual conference of the Russian Acoustical Society was held at the V.A. Kotelnikov Institute of Radio Engineering and Electronics. The 18 sections of the conference covered various aspects of modern acoustics and brought together specialists from different cities across Russia. LIMU research fellows, postgraduates, and students participated in organizing the conference and successfully presented 14 reports in 4 different sections.

Our first experiments on incisionless mechanical fractionation of human leiomyosarcoma have been published in the Q1-journal Ultrasonics

A top-rated journal Ultrasonics (Q1, IF 4.1) has published our paper titled "Non-thermal ultrasound-guided fractionation of human leiomyosarcoma with boiling histotripsy: an ex vivo feasibility study" on our pilot results of mechanical fractionation of human leiomyosarcoma with pulsed high-intensity focused ultrasound using boiling histotripsy. The study was performed in collaboration with the MSU University Clinic, Pulmonology Research Institute, and the Human Morphology Research Institute.

LIMU participates in “Scientists in Schools” project

As part of the 20th anniversary International Science Festival NAUKA 0+, held from October 10-12, 2025, LIMU research fellow Anastasia Lapina delivered a lecture titled "Applications of Ultrasound in Diagnostics, Therapy, and Surgery" for 9th-grade school students within the "Scientists in Schools" project.

LIMU at the International Science Festival NAUKA 0+

From October 10 to 12, 2025, the International Science Festival NAUKA 0+ was held in Moscow. LIMU students, postgraduates and research fellows participated in an exhibition held at the Fundamental Library of Moscow State University – they told the visitors about the use of ultrasound in medicine and industry, as well as interactively demonstrated its capabilities. LIMU booth was one of the most actively visited and was featured in the reports by multiple TV channels!

LIMU speaks at workshop on acoustics and acoustic metamaterials at ITMO

On October 8 and 9, 2025, the Workshop on Acoustics and Acoustic Metamaterials was held at the ITMO University in St. Petersburg, bringing together leading experts from Russia and international research centers. LIMU invited speakers included O.A. Sapozhnikov, V.A. Khokhlova, and S.A. Tsysar.