Breast cancer is the most common cancer among women in the world. Current drug treatments are not always effective and are associated with serious side effects, whereas surgical intervention carries a significant risk of infection and requires a long postoperative recovery period.
High-intensity focused ultrasound (HIFU) is already being used in clinical practice for non-surgical ablation of breast tumors through non-invasive local heating of the target tissue at the focus and its thermal necrosis due to the absorption of ultrasound energy. However, some of its disadvantages have already been identified:
- heat diffusion from the focus to surrounding healthy tissue reduces the treatment accuracy;
- blood flow cools down the focal area and suppresses the required heat accumulation;
- thermally coagulated tissue resorbs slowly;
- reliable temperature control in the focal area requires expensive MRI control.
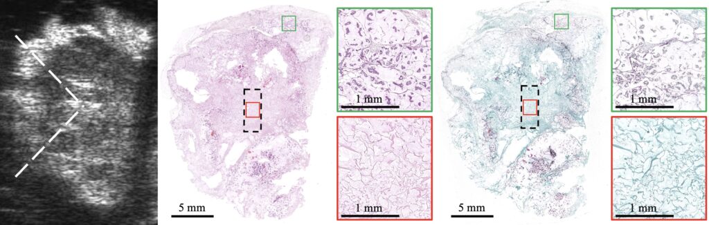
The LIMU team is developing a method of boiling histotripsy that utilizes short and rarely repeated focused ultrasound pulses of such high power that high-amplitude shock waves are formed in the focal area, leading to purely mechanical fractionation of tissue at the focus. This approach eliminates the risk of heat diffusion and ensures ablation precision, as well as allows for reliable control of the treated site, since hyperechoic vapor bubbles generated during boiling histotripsy are clearly visible in the ultrasound image of the target zone.
Recently, our team has demonstrated the fundamental possibility of mechanical fractionation of human breast cancer ex vivo using boiling histotripsy leading to target tissue liquefaction down to subcellular fragments as was confirmed histologically.

Currently, LIMU is leading the research on a larger sample batch to study the response of various breast tumors to mechanical fractionation with boiling histotripsy, the influence of their elastic properties on this response, as well as to determine the optimal range of exposure parameters for the effective and rapid fractionation of various breast tumors.
Contacts
Details
[1] Pilot experiment on non-invasive non-thermal disintegration of human mucinous breast carcinoma ex vivo using boiling histotripsy / E. M. Ponomarchuk, S. A. Tsysar, D. D. Chupova et al. // Bulletin of Experimental Biology and Medicine. — 2024. — no. 1. — P. 133–136. DOI: 10.1007/s10517-024-06144-6
[2] The histotripsy spectrum: differences and similarities in techniques and instrumentation / R.P. Williams, J.C. Simon, V.A. Khokhlova, O.A. Sapozhnikov, T.D. Khokhlova // International Journal of Hyperthermia, 40 1 1-19. DOI: 10.1080/02656736.2023.2233720
[3] Nonlinear acoustics today / O. A. Sapozhnikov, V. A. Khokhlova, R. O. Cleveland et al. // Acoustics today. — 2019. — Vol. 15, no. 3. — P. 55–64. DOI: 10.1121/AT.2019.15.3.55
[4] Shock-induced heating and millisecond boiling in gels and tissue due to high intensity focused ultrasound / M. S. Canney, V. A. Khokhlova, O. V. Bessonova et al. // Ultrasound in Medicine and Biology. — 2010. — Vol. 36, no. 2. — P. 250–267. DOI: 10.1016/j.ultrasmedbio.2009.09.010
[5] Controlled tissue emulsification produced by high intensity focused ultrasound shock waves and millisecond boiling / T. D. Khokhlova, M. S. Canney, V. A. Khokhlova et al. // Journal of the Acoustical Society of America. — 2011. — Vol. 130, no. 5. — P. 3498–3510. DOI: 10.1121/1.3626152