Рак молочной железы является самым распространенным онкологическим заболеванием среди женщин в мире. Существующие методы медикаментозного лечения не всегда эффективны и ассоциированы с серьезными побочными эффектами, а хирургическое вмешательство влечет значительный риск внесения инфекции и требует долго послеоперационного периода восстановления.
Фокусированный ультразвук высокой интенсивности (в англоязычной литературе – High Intensity Focused Ultrasound, HIFU) уже успешно используется в клинической практике для безоперационного разрушения новообразований молочной железы путем неинвазивного локального нагрева целевой ткани в фокусе и ее тепловой денатурации за счет поглощения ультразвуковой энергии. Однако уже были выявлены некоторые его недостатки:
- диффузия тепла от фокуса на окружающие здоровые ткани снижает точность воздействия;
- охлаждение фокуса за счет кровотока;
- медленное рассасывание термически коагулированной ткани;
- для надежного контроля температуры в фокальной области требуется дорогостоящий МРТ-контроль.
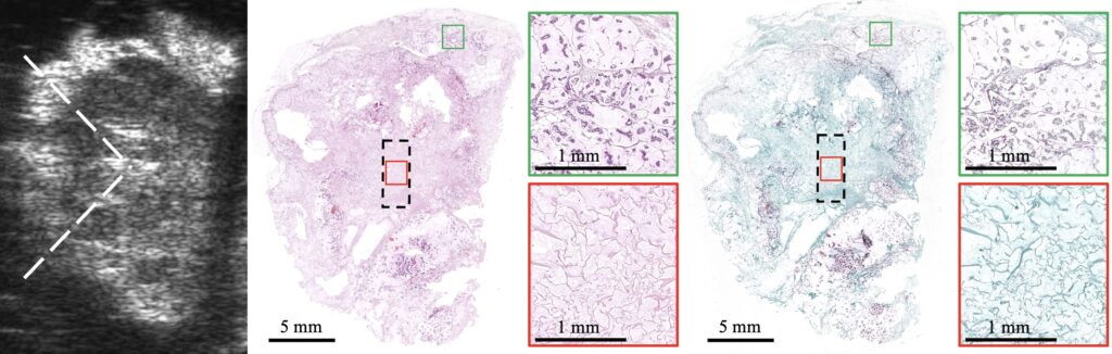
В Лаборатории развивается метод гистотрипсии с кипением, в котором облучение проводится короткими и редко повторяющимися импульсами настолько высокой мощности, что в области фокуса формируются высокоамплитудные ударные волны, приводящие к чисто механическому разрушению ткани. Такой подход, во-первых, исключает опасность диффузии тепла и обеспечивает локальность воздействия, во-вторых, позволяет проводить точный контроль места облучения, поскольку гиперэхогенные паровые пузырьки, генерируемых в процессе гистотрипсии, хорошо видны на УЗИ-изображении таргетной зоны.
Недавно нами впервые была продемонстрирована принципиальная возможность механического разрушения раковой опухоли молочной железы человека ex vivo методом гистотрипсии с кипением, при этом ткань в области воздействия была ликвифицирована до субклеточных фрагментов, что было подтверждено гистологически.

На данный момент в Лаборатории ведутся исследования на большей выборке препаратов для изучения отклика различных опухолей молочной железы на механическое разрушение методом гистотрипсии с кипением, влияния их упругих свойств на этот отклик, а также для определения диапазона оптимальных параметров воздействия для эффективного и быстрого разрушения различных новообразований молочной железы.
Контакты
- Екатерина Максимовна Пономарчук
- Анастасия Валерьевна Квашенникова
- Сергей Алексеевич Цысарь
- Вера Александровна Хохлова
Подробности
- в нашем докладе
- в нашей видеолекции
- в нашем пленарном докладе
- в коротком видеоролике
- в статьях ниже
[1] Pilot experiment on non-invasive non-thermal disintegration of human mucinous breast carcinoma ex vivo using boiling histotripsy / E. M. Ponomarchuk, S. A. Tsysar, D. D. Chupova et al. // Bulletin of Experimental Biology and Medicine. — 2024. — no. 1. — P. 133–136. DOI: 10.1007/s10517-024-06144-6
[2] The histotripsy spectrum: differences and similarities in techniques and instrumentation / R.P. Williams, J.C. Simon, V.A. Khokhlova, O.A. Sapozhnikov, T.D. Khokhlova // International Journal of Hyperthermia, 40 1 1-19. DOI: 10.1080/02656736.2023.2233720
[3] Nonlinear acoustics today / O. A. Sapozhnikov, V. A. Khokhlova, R. O. Cleveland et al. // Acoustics today. — 2019. — Vol. 15, no. 3. — P. 55–64. DOI: 10.1121/AT.2019.15.3.55
[4] Shock-induced heating and millisecond boiling in gels and tissue due to high intensity focused ultrasound / M. S. Canney, V. A. Khokhlova, O. V. Bessonova et al. // Ultrasound in Medicine and Biology. — 2010. — Vol. 36, no. 2. — P. 250–267. DOI: 10.1016/j.ultrasmedbio.2009.09.010
[5] Controlled tissue emulsification produced by high intensity focused ultrasound shock waves and millisecond boiling / T. D. Khokhlova, M. S. Canney, V. A. Khokhlova et al. // Journal of the Acoustical Society of America. — 2011. — Vol. 130, no. 5. — P. 3498–3510. DOI: 10.1121/1.3626152