Histotripsy methods in non-invasive ultrasound surgery
Histotripsy is a recently proposed method of mechanical disintegration (liquefication) of target tissue volumes (e.g., tumors) in the human body using short pulses of focused ultrasound (FUS) [1, 2].

Currently, several histotripsy types have been proposed, differing in:
• pulse duration (from microseconds to several milliseconds),
• nonlinearly distorted ultrasound waveform,
• amplitude of shock fronts at the focal point,
• physical mechanisms underlying the tissue disintegration process.
Nethertheless, all histotripsytypes are based on initiation of intense bubble activity and acoustic microstreams at the focus of an ultrasound beam, leading to tissue fragmentation into subcellular components.
Boiling histotripsy method
One of the histotripsy methods termed “boiling histotripsy“ is being actively developed in our laboratory LIMU at Moscow State University.
The method involves transcutaneous focusing of short (1—10 ms) rarely repeating powerful ultrasound pulses on target tissues in the human body. Nonlinear distortion of the initially harmonic waveform in each pulse as it propagates leads to the formation of high-amplitude shock fronts in the focal zone. Rapid tissue heating due to the absorption of the wave energy at the shock fronts leads to localized tissue boiling at the focal point during each pulse. The interaction of subsequent shock fronts with the resulting millimeter-sized vapor cavity leads to surface cavitation, tissue atomization, and formation of microjets, disintegrating the target tissue down to subcellular fragments.
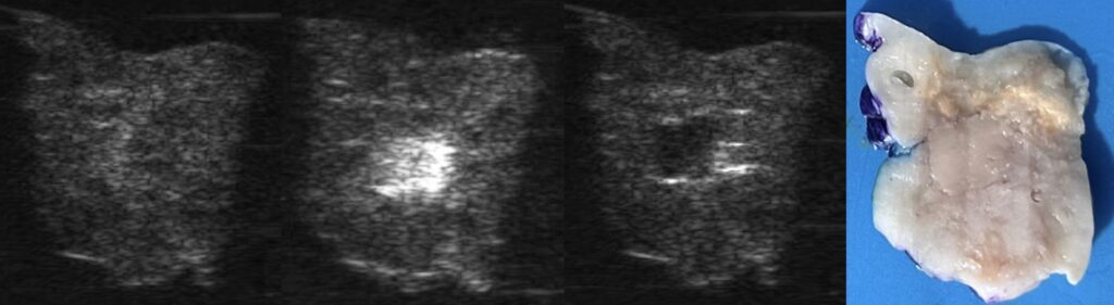
Histotripsy methods have important clinical advantages over thermal ablation methods using high-intensity focused ultrasound (HIFU or FUS):
- possibility of real-time visualization via conventional, more accessible than MRI, diagnostic ultrasound imaging:
- vapor bubbles formed during histotripsy strongly scatter ultrasound and appear hyperechoic (bright) on ultrasound;
- the resulting liquefied tissue lacks ultrasound scatterers and appears hypoechoic (dark) on ultrasound;
- significant localization of the effect due to minimization of heat diffusion;
- no scar formation at the treated site;
- rapid resorption of liquefied tissue by immune system.

Currently, various new clinical applications of histotripsy methods are rapidly developing, such as local disintagration of tumors, targeted drug delivery without artificial administration of contrast agents, liquefaction of blood clots and large hematomas, enhanced release of specific biomarkers for non-invasive cancer diagnostics, treatment of abscesses, combination immunotherapy, etc.
Research at LIMU
- development of complex methods for planning HIFU exposure in clinical settings;
- transducer design, including phased arrays, to achieve the target amplitudes of shock fronts at the focus;
- studies of cavitation effects in tissue and physical mechanisms affecting tissue exposed to shock-wave HIFU;
- investigation of the effect of tissue acoustic properties on nonlinear focusing and field parameters in situ;
- investigation of acoustic and MRI visualization of the treated area;
- analysis of morphological and ultrastructural changes in tissue induced by ultrasound.
At LIMU Laboratory, boiling histotripsy is being developed for various clinical indications such as:
• prostate cancer;
• breast cancer;
• uterine tumors;
• neurosurgery;
• large hematomas.
LIMU tasks
- Development of new shock-wave HIFU regimes
- Investigation of susceptibility of varied tissues and tumors to histotripsy
- Development of a threshold dose concept for histotripsy of varies target tissues and tumors
- Verification experiments on tissue phantoms
- Design of specialized transducers for specific clinical applications
Activity types
- experiments on tissues and tissue phantoms
- numerical modeling
- design of transducers and phased arrays

Contacts
Details
[1] The histotripsy spectrum: differences and similarities in techniques and instrumentation / R.P. Williams, J.C. Simon, V.A. Khokhlova, O.A. Sapozhnikov, T.D. Khokhlova // International Journal of Hyperthermia, 40 1 1-19. DOI: 10.1080/02656736.2023.2233720
[2] Nonlinear acoustics today / O. A. Sapozhnikov, V. A. Khokhlova, R. O. Cleveland et al. // Acoustics today. — 2019. — Vol. 15, no. 3. — P. 55–64. DOI: 10.1121/AT.2019.15.3.55
[3] Shock-induced heating and millisecond boiling in gels and tissue due to high intensity focused ultrasound / M. S. Canney, V. A. Khokhlova, O. V. Bessonova et al. // Ultrasound in Medicine and Biology. — 2010. — Vol. 36, no. 2. — P. 250–267. DOI: 10.1016/j.ultrasmedbio.2009.09.010
[4] Controlled tissue emulsification produced by high intensity focused ultrasound shock waves and millisecond boiling / T. D. Khokhlova, M. S. Canney, V. A. Khokhlova et al. // Journal of the Acoustical Society of America. — 2011. — Vol. 130, no. 5. — P. 3498–3510. DOI: 10.1121/1.3626152
[5] Physical mechanisms of the therapeutic effect of ultrasound (a review) / M. R. Bailey, V. A. Khokhlova, O. A. Sapozhnikov et al. // Acoustical Physics. — 2003. — Vol. 49, no. 4. — P. 369–388. DOI: 10.1134/1.1591291
[6] Pilot ex vivo study on non-thermal ablation of human prostate adenocarcinoma tissue using boiling histotripsy / P. B. Rosnitskiy, S. A. Tsysar, M. M. Karzova et al. // Ultrasonics. — 2023. — Vol. 133. — P. 107029. DOI: 10.1016/j.ultras.2023.107029
[7] Boiling histotripsy in ex vivo human brain: proof-of-concept / E. Ponomarchuk, S. Tsysar, A. Kadrev et al. // Ultrasound in Medicine and Biology. — 2025. — Vol. 51, no. 2. — P. 312–320. DOI: 10.1016/j.ultrasmedbio.2024.10.006
[8] Pilot experiment on non-invasive non-thermal disintegration of human mucinous breast carcinoma ex vivo using boiling histotripsy / E. M. Ponomarchuk, S. A. Tsysar, D. D. Chupova et al. // Bulletin of Experimental Biology and Medicine. — 2024. — no. 1. — P. 133–136. DOI: 10.1007/s10517-024-06144-6
[9] Pilot study on boiling histotripsy treatment of human leiomyoma ex vivo / E. Ponomarchuk, S. Tsysar, A. Kvashennikova et al. // Ultrasound in Medicine and Biology. — 2024. — Vol. 50, no. 8. — P. 1255–1261. DOI: 10.1016/j.ultrasmedbio.2024.05.002
[10] Elastic properties of aging human hematoma model in vitro and its susceptibility to histotripsy liquefaction / E. M. Ponomarchuk, P. B. Rosnitskiy, S. A. Tsysar et al. // Ultrasound in Medicine and Biology. — 2024. — Vol. 50, no. 6. — P. 927–938. DOI: 10.1016/j.ultrasmedbio.2024.02.019
[11] Histology-based quantification of boiling histotripsy outcomes via resnet-18 network: Towards mechanical dose metrics / E. Ponomarchuk, G. Thomas, M. Song et al. // Ultrasonics. — 2024. — Vol. 138. — P. 107225. DOI: 10.1016/j.ultrasmedbio.2024.08.022
[12] Advancing boiling histotripsy dose in ex vivo and in vivo renal tissues via quantitative histological analysis and shear wave elastography / E. Ponomarchuk, G. Thomas, M. Song et al. // Ultrasound in Medicine and Biology. — 2024. — Vol. 50, no. 12. — P. 1936–1944. DOI:
[13] Histotripsy: a method for mechanical tissue ablation with ultrasound / Z. Xu, T. D. Khokhlova, C. S. Cho, V. A. Khokhlova // Annual Review of Biomedical Engineering. — 2024. — Vol. 26, no. 1. — P. 141–167. DOI: 10.1146/annurev-bioeng-073123-022334
[14] Initial assessment of boiling histotripsy for mechanical ablation of ex vivo human prostate tissue / V. A. Khokhlova, P. B. Rosnitskiy, S. A. Tsysar et al. // Ultrasound in Medicine and Biology. — 2023. — Vol. 49, no. 1. — P. 62–71. DOI: 10.1016/j.ultrasmedbio.2022.07.014
[15] Enhancement of boiling histotripsy by steering the focus axially during the pulse delivery / G. P. Thomas, T. D. Khokhlova, O. A. Sapozhnikov, V. A. Khokhlova // IEEE Transactions on Ultrasonics, Ferroelectrics, and Frequency Control. — 2023. — Vol. 70, no. 8. — P. 865–875. DOI: 10.1109/TUFFC.2023.3286759
[16] Quantitative assessment of boiling histotripsy progression based on color Doppler measurements / M. Song, G. P. Thomas, V. A. Khokhlova et al. // IEEE Transactions on Ultrasonics, Ferroelectrics, and Frequency Control. — 2022. — Vol. 69, no. 12. — P. 3255–3269. DOI: 10.1109/TUFFC.2022.3212266
[17] Mechanical damage thresholds for hematomas near gas-containing bodies in pulsed HIFU fields / E. M. Ponomarchuk, C. Hunter, M. Song et al. // Physics in Medicine and Biology. — 2022. — Vol. 67, no. 21. — P. 1–18. DOI: 10.1088/1361-6560/ac96c7
[18] Introduction to the Special Issue on Histotripsy: Approaches, Mechanisms, Hardware, and Applications / Z. Xu, V. A. Khokhlova, K. A. Wear et al. // IEEE Transactions on Ultrasonics, Ferroelectrics, and Frequency Control. — 2021. — Vol. 68, no. 9. — P. 2834–2836. DOI:10.1109/TUFFC.2021.3102092
[19] Partial respiratory motion compensation for abdominal extracorporeal boiling histotripsy treatments with a robotic arm / G. P. L. Thomas, T. D. Khokhlova, V. A. Khokhlova // IEEE Transactions on Ultrasonics, Ferroelectrics, and Frequency Control. — 2021. — Vol. 68, no. 9. — P. 2861–2870. DOI: 10.1109/TUFFC.2021.3075938
[20] Ultrastructural analysis of volumetric histotripsy bio-effects in large human hematomas / E. M. Ponomarchuk, P. B. Rosnitskiy, T. D. Khokhlova et al. // Ultrasound in Medicine and Biology. — 2021. — Vol. 47, no. 9. — P. 2608–2621. DOI: 10.1016/j.ultrasmedbio.2021.05.002
[21] A prototype therapy system for boiling histotripsy in abdominal targets based on a 256 element spiral array / C. R. Bawiec, T. D. Khokhlova, O. A. Sapozhnikov et al. // IEEE Transactions on Ultrasonics, Ferroelectrics, and Frequency Control. — 2021. — Vol. 68, no. 5. — P. 1496–1510. DOI: 10.1109/TUFFC.2020.3036580
[22] Effect of stiffness of large extravascular hematomas on their susceptibility to boiling histotripsy liquefaction in vitro / T. D. Khokhlova, J. C. Kucewicz, E. M. Ponomarchuk et al. // Ultrasound in Medicine and Biology. — 2020. — Vol. 46, no. 8. — P. 2007–2016. DOI: 10.1016/j.ultrasmedbio.2020.04.023
[23] Treating porcine abscesses with histotripsy: a pilot study / T. J. Matula, Y.-N. Wang, T. D. Khokhlova et al. // Ultrasound in Medicine and Biology. — 2020. — Vol. 47, no. 3. — P. 603–619. DOI: 10.1016/j.ultrasmedbio.2020.10.011
[24] Pilot in vivo studies on transcutaneous boiling histotripsy in porcine liver and kidney / T. D. Khokhlova, G. R. Schade, Y. N. Wang et al. // Scientific reports. — 2019. — Vol. 9. — P. 20176. DOI: 10.1038/s41598-019-56658-7
[25] Histotripsy: the next generation of high‐intensity focused ultrasound for focal prostate cancer therapy / T. J. Dubinsky, T. D. Khokhlova, V. A. Khokhlova, G. A. Schade // Journal of Ultrasound in Medicine. — 2019. — Vol. 39, no. 6. — P. 1057–1067. DOI: 10.1002/jum.15191
[26] Simulation of nonlinear trans-skull focusing and formation of shocks in brain using a fully populated ultrasound array with aberration correction / P. B. Rosnitskiy, P. V. Yuldashev, O. A. Sapozhnikov et al. // Journal of the Acoustical Society of America. — 2019. — Vol. 146, no. 3. — P. 1786–1798. DOI: 10.1121/1.5126685
[27] Mechanical decellularization of tissue volumes using boiling histotripsy / Y.-N. Wang, T. D. Khokhlova, S. V. Buravkov et al. // Physics in Medicine and Biology. — 2018. — Vol. 63, no. 23. — P. 1–11. DOI: 10.1088/1361-6560/aaef16
[28] Dependence of inertial cavitation induced by high intensity focused ultrasound on transducer F-number and nonlinear waveform distortion / T. Khokhlova, P. Rosnitskiy, C. Hunter et al. // Journal of the Acoustical Society of America. — 2018. — Vol. 144, no. 3. — P. 1160–1169. DOI: 10.1121/1.5052260
[29] Inactivation of planktonic escherichia coli by focused 1-MHz ultrasound pulses with shocks: efficacy and kinetics upon volume scale-up / A. A. Brayman, B. E. Macconaghy, Y. N. Wang et al. // Ultrasound in Medicine and Biology. — 2018. — Vol. 44, no. 9. — P. 1996–2008. DOI: 10.1016/j.ultrasmedbio.2018.05.010
[30] On the possibility of using multi-element phased arrays for shock-wave action on deep brain structures / P. Rosnitskiy, L. Gavrilov, P. Yuldashev et al. // Acoustical Physics. — 2017. — Vol. 63, no. 5. — P. 531–541. DOI: 10.1134/S1063771017050104
[31] Dependence of boiling histotripsy treatment efficiency on HIFU frequency and focal pressure levels / T. D. Khokhlova, Y. A. Haider, A. D. Maxwell et al. // Ultrasound in Medicine and Biology. — 2017. — Vol. 43, no. 9. — P. 1975–1985. DOI: 10.1016/j.ultrasmedbio.2017.05.001
[32] A prototype therapy system for transcutaneous application of boiling histotripsy / A. D. Maxwell, P. V. Yuldashev, W. Kreider et al. // IEEE Transactions on Ultrasonics, Ferroelectrics, and Frequency Control. — 2017. — Vol. 64, no. 10. — P. 1542–1557. DOI:
[33] Boiling histotripsy ablation of renal carcinoma in a chronic rat model / W. Brisbane, T. Khokhlova, S. Whang et al. // Journal of Urology. — 2017. — Vol. 197, no. 4. — P. 1329–1330. DOI: 10.1016/j.juro.2017.02.3109
[37] Inactivation of planktonic escherichia coli by high intensity focused ultrasound pulses / T. J. Matula, A. Brayman, Y.-N. Wang et al. // Proceedings of Meetings on Acoustics. — 2017. — Vol. 32, no. 1. — P. 020009/1–020009/6. DOI: 10.1121/2.0000729
[38] Histotripsy methods in mechanical disintegration of tissue: Towards clinical applications / V. A. Khokhlova, J. B. Fowlkes, W. W. Roberts et al. // International Journal of Hyperthermia. — 2015. — Vol. 31, no. 2. — P. 145–162. DOI: 10.3109/02656736.2015.1007538
[34] Histological and biochemical analysis of mechanical and thermal bioeffects in boiling histotripsy lesions induced by high intensity focused ultrasound / Y.-N. Wang, T. Khokhlova, M. Bailey et al. // Ultrasound in Medicine and Biology. — 2013. — Vol. 39, no. 3. — P. 424–438. DOI: 10.1016/j.ultrasmedbio.2012.10.012